Французский поцелуй засняли под МРТ-сканером

С помощью аппарата можно увидеть, что происходит внутри человеческих ртов во вовремя поцелуя

24 сентября 2014, 17:20, ИА Амител

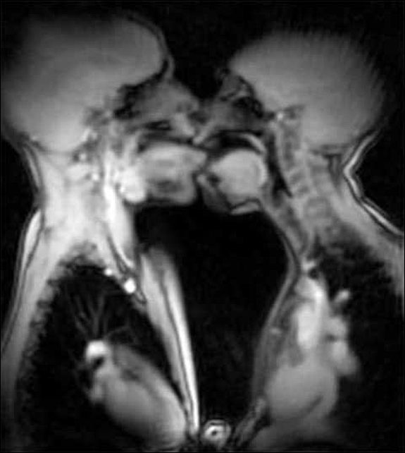
Благодаря МРТ-сканерам врачи могут увидеть, как работают человеческие органы в ходе самых разнообразных действий. Но в то время, как аппараты, преимущественно, используются для диагностики заболеваний мозга, нашлись и те, кто решил пойти дальше.

Врачи использовали эти сканеры, чтобы выявить, что происходит внутри человеческих ртов во вовремя поцелуя. Видео под названием "Анатомия поцелуев и любви в МРТ-сканере" было загружено интернет-пользователем на видеохостинг YouTube. В описании к ролику указано, что видео является первым французским поцелуем, совершенным под МРТ-сканером. Он был заснят с напряженностью поля в 3 Тесла.

Клип показывает движение языка во рту другого человека, а также сердца обоих участников, которые начинают биться быстрее.

Есть также видео, демонстрирующее, как выглядит секс под МРТ-сканером. Это видео, на самом деле, было снято в 1990-х годах голландским врачом Пек Ван Анделом в больнице в Гронингене. Видео поцелуя и полового акта было создано с помощью сотни смонтированных снимков.

Доктор Ван Андел, вместе в профессором гинекологии Виллибрордом Веймаром Шульцом, антропологом Идой Сабелис и рентгенологом Эдуардом Моояртом, использовали изображения в качестве основы для научной работы под названием "Магнитно-резонансная томография мужских и женских половых органов во время полового акта и при половом возбуждении у женщин".

Цель исследования состояла в том, чтобы обнаружить, возможно ли отображение мужских и женских половых органов во время полового акта. Год спустя команда удостоилась за свою работу Шнобелевской премии.

Другие бытовые человеческие функции, выявленные в видео, включают глотание, разговоры на разных языках, игру на трубе и дефекацию, пишет в свежем номере Mail Online.
 

Комментарии 0

Лента новостей

Новости партнеров